- 
      
      
      
        
  
       iTero ScannerOur iTero Scanner is used to provide accurate scans of your teeth for diagnostic models, orthodontic appliances, and virtual treatment planning. This has all but eliminated the gooey impressions that are used routinely in many other practices. In less than 15 minutes, we can capture the images of your teeth and have you on to whatever is next in your life! 
- 
      
      
      
        
  
       Cold Laser TherapyThe cold laser is used after orthodontic appointments to accelerate healing, speed tissue repair, reduce inflammation and discomfort, and to stimulate the growth of new cells It decreases treatment time and helps start the healing process immediately reducing inflammation and discomfort *For more information on how Cold Laser Therapy works to help with discomfort and healing, check out these videos on their website: MLS Cold Laser Therapy 
- 
      
      
      
        
  
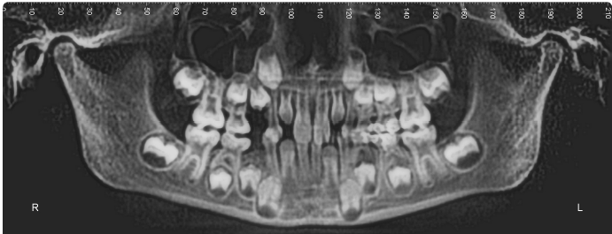
       i-CAT 3D Imaging SystemOur i-CAT 3D Imaging System provides precisely accurate 3D views to analyze teeth, roots, TMJ, airway, and sinuses without magnification or distortion in less than 5 seconds. With more information than is rendered from a more traditional x-ray, we are able to provide treatment that is beyond straight teeth. 
WHAT DO WE SEE WHEN WE LOOK AT YOUR ICAT 3D IMAGE?
DENTAL DEVELOPMENT
In the i-CAT, we are able to see all the primary (baby) and permanent (adult) teeth. We are able to see if there is enough space for the developing teeth to come into proper position. Sometimes, baby teeth that have not fallen out yet may be blocking the adult teeth from erupting. When we see this, we are able to intervene early to make space allowing the teeth to erupt properly.
POSITION OF THE TEETH AND ARCHES
With the images taken from the iCat we are also able to map out the position of the teeth. We are also able to map out the Maxilla(the upper arch) and the Mandible (the lower arch) and compare their relationship to each other. This map can help us determine what appliances will help you achieve your orthodontic treatment goals.
SINUSES, NASAL TURBINATES, AND NASAL SEPTUM
With our i-CAT Imaging system, we are able to see different sections of the head and neck. We assess the nasal cavity which contains our sinuses, nasal turbinates, and the nasal septum. Healthy nasal passages are required for nasal breathing which is essential for proper facial development. We can evaluate for potential blockages in the nasal and airway passages and refer to an ENT when needed. Some of the things we look for are:
-Symmetry on both sides of the turbinates and sinuses
-Deviated or “off-centered” nasal septum
-Inflamed/Enlarged or blocked turbinates
-Sinuses that are full or small in size
-Nasal polyps
TEMPOROMANDIBULAR JOINT (TMJ)
We are able to evaluate the position of the lower jaw in relation to the upper jaw. Often, in patients who have TMJ concerns/pain, the lower jaw is resting further back in the joint space which contributes to the pain and dysfunction. By evaluating the jaw position in the i-CAT we are able to determine if we need to move both the upper and lower jaw forward which helps with joint health.


 
            
              
            
            
          
               
            
              
            
            
          
               
            
              
            
            
          
               
            
              
            
            
          
               
            
              
            
            
          
               
            
              
            
            
          
               
            
              
            
            
          
               
            
              
            
            
          
              